Cabinet ORTHOSYMBIOZ
Drs MATTEI et DUMAS - Orthodontistes à Béziers
ACCUEIL
LE CABINET
PLAN D'ACCÈS
URGENCES ORTHODONTIQUES
FICHES CONSEILS
VIDEOS 3D
ACTUALITES
QUESTIONNAIRE PRE-RDV
PRENDRE RDV
Dr Lucia MATTEI
Dr Christine DUMAS
CONTACT
Cabinet ORTHOSYMBIOZ
53 avenue Jean Moulin
34500
Beziers
+33 4 48 20 10 65
Drs MATTEI et DUMAS - Orthodontistes à Béziers
ACCUEIL
LE CABINET
PLAN D'ACCÈS
URGENCES ORTHODONTIQUES
FICHES CONSEILS
VIDEOS 3D
ACTUALITES
QUESTIONNAIRE PRE-RDV
PRENDRE RDV
Dr Lucia MATTEI
Dr Christine DUMAS
CONTACT
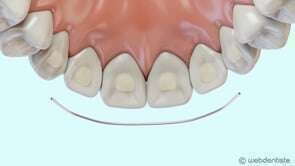
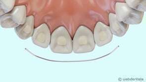
Fil de contention
Vidéos 3D
Partager
Twitter
Partager
Partager
Envoyer
Copier
Cabinet ORTHOSYMBIOZ
53 avenue Jean Moulin
34500
Beziers
+33 4 48 20 10 65
Liens
Politique de confidentialité et charte cookie
Mentions légales
Conditions Générales Utilisation
Charte déontologique
Ordre national
Annuaires chirurgiens dentistes
Coordonnées
Rechercher
Création par
Connexion